「客観美」と「主観美」の融合
客観的に美しいとされる歯と、
患者さん自身が美しいと考える歯を融合することで
バランスが取れた美が創造されます。
✓「個室」完備
✓「女性ドクター」在籍
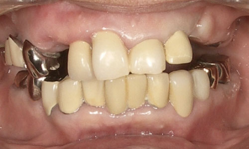
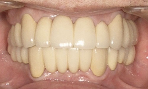
銀歯をセラミックに置き換えたケース。
ダイレクトボンディングで歯の形態を整えたケース。

客観的に美しいとされる歯と、
患者さん自身が美しいと考える歯を融合することで
バランスが取れた美が創造されます。
✓「個室」完備
✓「女性ドクター」在籍


銀歯をセラミックに置き換えたケース。


ダイレクトボンディングで歯の形態を整えたケース。










詰め物を白い素材(CR)に置き換えたケース。
リスクとしては、CRが期間の経過とともに変色する可能性がある。
ダイレクトボンディング法(審美CR)とは、歯を削る量を最小限に抑えつつ、1回の来院・低価格で白い歯を手に入れることができる治療法です。
「低予算で小さな虫歯を綺麗に治療したい」、「欠けてしまった歯を低予算で綺麗に治療したい」「低予算で銀歯を白い詰め物にしたい」というご要望にお応えしています。
皆さんご存知ないと思いますが「歯の美しさ」は、歯の形状、色合い、他の歯とのバランス、唇とのバランス等、様々な要因から成り立っています。
そして、どのようにしたら美しい歯になるかという方程式も確立されています。
しかし、「美」には客観的な美と主観的な美があります。一般的にキレイとされる歯を創造したとしても、患者さん自身の美とそぐわない場合は意味がなくなります。
プロの目線で客観的な美をご提案し、そして、患者さんご自身の主観的な美を融合させること。
それが当院の目指す審美的な治療となります。
またその他、「綺麗な歯を長期的に安定させる」こと、「身体に優しい素材を使う」ことも当院のコンセプトになっていますので、それらを含めてご紹介します。
美は抽象的なものではなく、客観的に計測できるものです。それを反映させることで、誰が見ても美しい美が創造されます。
笑ったとき、下唇のアーチと歯並びのアーチを一致させることで口元の美しさを際立てることができます。
著者: 山崎長郎 クインテッセンス出版: エステティック クラシフィケーションズ より引用
「中切歯(1.618)」:「側切歯(1)」:「犬歯(0.618)」の配列にすることで前歯の審美性が向上します。
正中線とは、顔の真ん中を通るラインのことを言いますが、上の前歯の真ん中のラインを正中線に合わせることでバランスが取れた歯並びになります。
口元の美しさは「歯肉」も重要な役割りを果たします。生物学的幅径を尊重し、適合性の良い被せ物を製作する必要があります。
当院では、患者さんが好む美を取り入れるため、「治療前のカウンセリング」、「治療開始前のセットアップ模型によるイメージすり合わせ(ケースによります)」、「仮歯によるイメージのすり合わせ」の工程を踏むことで、患者さんと術者との美に対するイメージのズレをなくす工程を踏んでいます。
この工程を踏むことで、「自分がイメージしていた歯と違う……」「もっと、この部分をこうしたかったのに……」のような問題を回避できます。
冒頭でもお伝えした通り、当院では「客観美+主観美」を1つのテーマにしていますので、患者さんの「こうしたい」を遠慮なく担当医にお伝えいただけたらと思います。
治療開始前に、カウンセリングを行います。
模型や症例、その他資料を用いながら、患者さんと術者の美に対する方向性を調整していきます。
すべてのケースで行うわけではありませんが、患者さんの歯型から模型を作り、どのような歯にしていくのかを、具体的に詰めていく工程になります。
プロビジョナルレストレーションという工程になるのですが、治療の最終段階で仮歯を装着し、色合い・形の他、他の歯とのバランスなどをチェックしていく工程です。もちろん、患者さんの意見も取り入れます。
「マイクロスコープ」とは、歯科用顕微鏡とも言われ、肉眼の何倍も視野を拡大してくれる機器です。
歯科治療は繊細を極める治療となりますが、マイクロスコープを活用し、より治療精度を高めることで「美しさの向上」だけでなく「耐久性」をも高めることができます。
マイクロスコープはどのくらい視野を拡大できるのでしょうか?
下の画像は、マイクロスコープ視野を分かりやすく表現したものになります。


千円札の画像がありますが、「左」の赤枠部分をマイクロ視野で見た場合の画像が「右」になります。
右の画像に3つの丸がありますが、それぞれ「二」「ホ」「ン」と記載されているのがわかると思います。これは肉眼では確認できないレベルの視野となります。
マイクロスコープと肉眼の治療、どちらの方の精度が高くなるかはご理解いただけると思います。
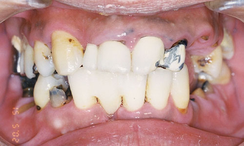
詰め物や被せ物には「様々な」種類があります。皆さんご存じなのは「銀歯」ですね。
この銀歯は金属アレルギーの原因になったり、金属イオンが歯茎に沈着しブラックラインと呼ばれる黒ずみの原因になることはあまり知られていません。


「身体への優しさ」。
これも当院が追及するテーマの1つです。
審美性を追求しながら、身体に優しい素材を厳選し患者さんにご提案します。

ジルコニアは、「人工ダイヤモンド」とも呼ばれ、セラミックのなかでも優れた審美性・耐久性を誇ります。
また、身体に優しい素材(陶器)ですので、保険適用の銀歯のように金属イオンが体内に流出する危険性がありません。
そして高い耐久性を併せ持ちますので、食いしばりの強い方にもお勧めです。

天然歯のような色合い、そして強度を持ちます。金属を一切使用していないので、体に非常に優しい素材です。
ジルコニアセラミックと比べ耐久度は若干落ちます。
上記以外にも様々な素材がありますので、詳細はお問い合わせください。
私たちは、画一的な治療や、効率を重視する治療はしておりません。
これまで培ってきた知識・技術を駆使し、患者さんに「心から」満足していただくためにこの仕事をしております。
そのため、患者さんには一切遠慮はしていただきたくありません。
心から満足するまで、何度でも私たちに違和感、納得できない部分をお伝えください。
これは患者さんの「権利」です。
当院には「個室」のカウンセリングルームがあります。他の患者さんの目を気にせず何でもお話しください。
また、「女性ドクター」も在籍していますので、女性ならではの目線でのご提案も可能になっております。
当院では、患者さんが抱えていらっしゃるお口のお悩みや疑問・不安などにお応えする機会を設けております。どんなことでも構いませんので、私たちにお話ししていただけたらと思います。
ご興味がある方は下記からお問い合わせください。
